歯を抜いてもう一度入れ直す治療
今回は歯を抜いてもう一度入れ直す治療「意図的歯牙再植術」について投稿します。
根管治療とは
根の先に炎症がある、歯茎が腫れたなどの症状に行う根管治療、この治療は内部の汚れを取り除く、いわゆる「歯の内部の歯磨き」なのです。しかし、この歯の内部の汚れをすべて取り除くことは、非常に困難であり、場合によっては、症状が改善しないケースもあります。
症状が改善しない場合に行う「歯根端切除術」
こんな場合には、根の先をカットする歯根端切除術で問題を解決する場合があります。
第二大臼歯の場合は意図的歯牙再植術
しかし、第二大臼歯は、口腔内で処置が困難なため、一度歯を抜いて口の外で歯根端切除を行い、もう一度抜いた部分に戻す「意図的歯牙再植術」を行います。この処置を行ったケースについてご紹介します。

治療した歯は左上7です。歯茎の腫れがあり、根管治療が必要と診断し、治療をいました。

治療後のレントゲン写真です。治療しても、歯茎の腫れは治まらなかったので、取りきれない汚れがあると判断し、意図的歯牙再植術を行いました。

根の表面を青い染色液で染めて、確認し、

根の先をカットします。

カットした断面をさらに青く染め出すと、断面に汚れがありそうな部分があったので、

その部分を削り飛ばし、


MTAセメントを充填し、

表面を綺麗にして、もとに戻しました。

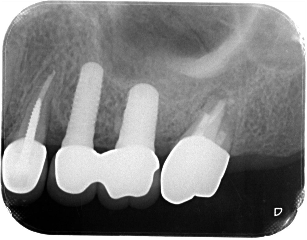
術直後のレントゲン写真です。

術後1年後のレントゲン写真です。根の先の炎症が小さくなっているのがわかります。歯茎の腫れもなく経過は順調です。
まとめ
このように、通常の根管治療を行っても、症状が改善しない第二大臼歯には、意図的歯牙再植術が必要な場合があります。咬み合わせが強い患者さんなので、歯根破折のリスクはありますが、できるだめ長持ちしてほしいものです。


